メタルフリー治療として注目のセラミック
審美性の観点から、「銀歯が気になる。白い被せ物に変えたい。」そういう声を良く耳にします。さとう歯科クリニックでは、天然の歯と同様の仕上がりのセラミックの被せ物をお勧めしております。
さとう歯科クリニックでは、歯科技工士が在中しているため、ひとりひとり歯の形や色に合わせたオーダーメイドのセラミック治療が特徴です。
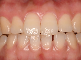
治療前

治療後

また、最近では健康面の観点から、メタルフリー治療として、このセラミック治療が注目されるようになりました。いわゆる「銀歯」は、材料自体が安価で、耐久性もあることから、保険治療では長年使用されてきました。しかし、最近になって、「二次むし歯」の確率、「歯周病」の確率、「ガルバニー電流」、「金属アレルギー」の問題、「通称メタルタトゥ」と呼ばれる歯ぐきへの悪影響など、様々な問題がいわれており、銀歯を望まない方が増えてきました。
特に、金属は長年取り付けていると、劣化し錆たりすると、人体に有害な物質が溶け出すため、注意が必要です。
治療前

治療後


